


E' un capitolo vastissimo dell'odontoiatria.
La riabilitazione protesica mira a ripristinare sempre il numero corretto degli elementi dentali.
La bocca ha un fisiologia tale che rende tutti i denti indispensabili per mantenere un equilibrio tra le strutture: basi ossee, muscoli, sistema nervoso centrale. Questo rende la protesi, non solo indispensabile, siano esse fisse che mobili che su impianti.
Più lungo è il periodo in cui non vengono ripristinati denti persi, più complicanze abbiamo nei denti limitrofi e soprattutto nel sistema masticatorio e nel sovvertimento di uno schema masticatorio diretto dal sistema nervoso centrale.
Molte le strutture interessate quindi, la funzione deficitaria dal lato della mancanza dei denti crea danni alla articolazione temporo mandibolare, al sistema neuromuscolare, aprendo quindi quadri sintomatologici particolari: cefalee, dolore articolare, ripercussioni sull'equilibrio posturale, artrosi cervicale, tensioni muscolari e infine fastidiosi danni estetici. La protesi ha due grandi categorie:
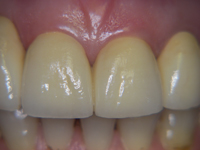
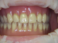
Negli ultimi anni grazie a nuovi materiali e a nuove tecnologie si sono ottenuti risultati sovrapponibili alla condizioni naturali.
Abbiamo a disposizione materiali come lo zirconio, tecniche di manufatti cadcam "computerizzati", ricostruiti con una elevatissima precisione in laboratorio che ci aiutano a garantire altissimi risultati estetici, anche se l'estetica deve assolutamente essere coniugata con il concetto di rispetto della funzione.